Science in the media
-

String Theory Inspires a Brilliant, Baffling New Math Proof
Years ago, an audacious Fields medalist outlined a sweeping program that, he claimed, could be used to resolve a major problem in algebraic geometry. Other mathematicians had their doubts. Now […]
-

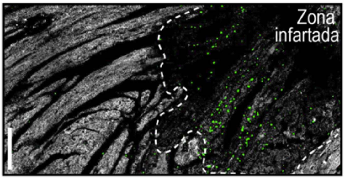
Los neutrófilos son menos agresivos por la noche, lo que reduce el daño de los infartos nocturnos
Un equipo del CNIC ha descubierto que los neutrófilos, células clave en la inflamación, siguen un reloj interno que regula su comportamiento a lo largo del día. Este mecanismo circadiano […]
-

Despite all the negatives, 2025 showcased the power, resilience and universality of science
There were huge disruptions to the global scientific enterprise this year — but immense bright spots for health, discovery, innovation and research collaboration.
-

Tiny Turbulent Whirls Keep the Arctic Ocean Flowing
Centimeter-sized turbulence controls the rate at which the Arctic Ocean churns.
-

Volando con ballenas: los drones están revolucionando la investigación sobre los mamíferos marinos
Desde recoger mocos de ballena hasta capturar comportamientos sorprendentes, los drones aéreos están proporcionando a los científicos una nueva visión de la vida en el mar.
-

Cautela ante el posible hallazgo de materia oscura en el universo
No importa de dónde venga la afirmación de que se ha detectado la materia oscura por primera vez. En cualquier caso, hay que cogerla con pinzas. Todo proceso de observación […]
-

How an Overlooked Eruption May Have Sparked the Black Death
The Black Death ravaged Europe, and scientists and historians are still working to understand how it became so deadly
-

Scientists uncover surprise origin of wispy cirrus clouds
These delicate cloud systems appear to be seeded by massive atmospheric waves thousands of miles away
-

Confirmado: en Marte hay rayos, pero no como los de la Tierra
Se trata de la primera evidencia sólida de que la atmósfera marciana es eléctricamente activa, aunque no produce grandes rayos atmosféricos, sino pequeñas descargas a ras de suelo
