
La labor de la Cátedra de Cultura Científica de la EHU no es solo transmitir cultura científica, sino colocar la ciencia en el espacio público y darle visibilidad

Una plaza es un espacio público amplio y abierto que encontramos en pueblos y ciudades. Una plaza es el escenario de la vida pública, un lugar de encuentro y el […]
2025-12-16
tecnología
El uso de técnicas metamatemáticas ha permitido demostrar que ciertos teoremas que parecen distintos son, en realidad, lógicamente equivalentes. Un artículo de Ben Brubaker. Historia original reimpresa con permiso de Quanta Magazine, una publicación editorialmente independiente respaldada po…
2025-12-16
zientzia
Baina zer da Bilbo Zientzia Plaza? Bilbo Zientzia Plaza (BZP) EHUko Kultura Zientifikoko Katedraren egitasmoa da eta estatuan antolatzen den zientzia-dibulgazioko jaialdirik handiena da. Bertan, erregistro, tonu eta izaera anitzeko ekimenez osatutako programa bat gauzatzen da, publiko heldua zein…
2025-12-16
Geosciences
Glaciers are melting worldwide. In some regions, they could even disappear completely. Looking at the number of glaciers disappearing, the Alps could reach their peak loss rate as early as 2033 to 2041. Depending on how sharply the planet warms, this period may mark a time when more glaciers vani…
2025-12-16
sufragismo
Las mujeres británicas sufrieron agresiones y fueron intimidadas a medida que su campaña por el derecho al voto se volvía más militante. Ante esta agresividad por parte de la policía decidieron aprender el arte marcial del jiu-jitsu. Una instructora con mucha energía Edith Garrud (1872-1971…

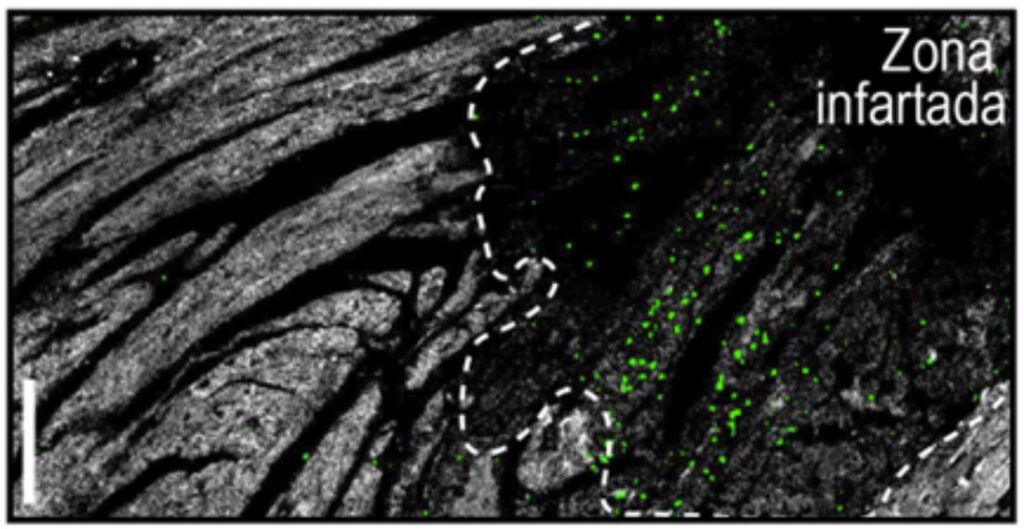
Un equipo del CNIC ha descubierto que los neutrófilos, células clave en la inflamación, siguen un reloj interno que regula su comportamiento a lo largo del día. Este mecanismo circadiano […]

There were huge disruptions to the global scientific enterprise this year — but immense bright spots for health, discovery, innovation and research collaboration.

Centimeter-sized turbulence controls the rate at which the Arctic Ocean churns.